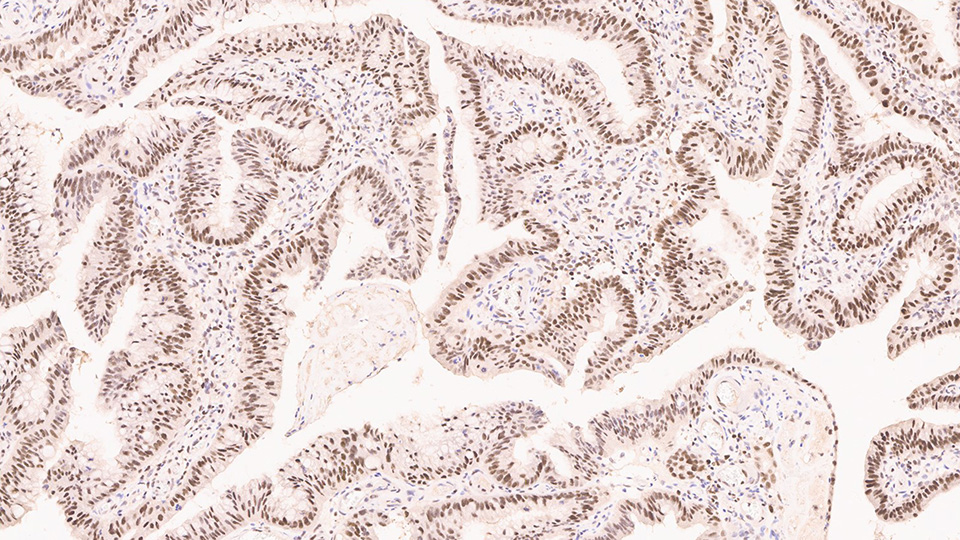
Colorectal carcinoma: immunohistochemical staining for mismatch repair protein (PMS2). Note nuclear staining in a high proportion of the malignant cells. Mismatch Repair Protein (PMS2): clone EP51.

Mismatch Repair Protein (PMS2)

Hintergrund des Antigens

Durch postmeiotische Segregation erhöhtes 2 (PMS2), auch als PMS1-Proteinhomolog 2 bekannt, ist ein DNA-Mismatch-Reparaturprotein (MMR). Die Mitglieder der PMS2-Genfamilie sind in den Clustern auf Chromosom 7 vorhanden.

PMS2 ist ein Mismatch-Reparaturprotein von 96 kD, das eng mit den Homologen des bakteriellen mutL-Gens MLH1, MLH3 und PMS1 verwandt ist. Das PMS2-Protein bildet mit dem MLH1-Protein ein Heterodimer, das daraufhin in Anwesenheit von ATP aktiviert wird. Dieser Komplex koordiniert die Bindung anderer Proteine, die DNA-Fehler reparieren, die bei der Vorbereitung der Zellen für die Zellteilung auftreten.

Der Verlust der PMS2-Expression in Tumoren kann bei der Identifizierung der hMLH1-Mutationsträger und ihrer Eignung für eine Mutationsanalyse hilfreich sein. PMS2-Gendefekte stellen einen kleinen, doch signifikanten Anteil kolorektaler Karzinome und machen einen wesentlichen Anteil der Tumoren mit Mikrosatelliteninstabilitäten aus.

PMS2 wird mit Fällen des dominant vererbten hereditären nicht-polypösen Kolonkarzinoms (HNPCC) assoziiert, steht jedoch eindeutig eher mit einer Variation des HNPCC, dem sogenannten Turcot-Syndrom im Zusammenhang.

Produkte

Produkte

PMS2-L-CE
1ml NCL-L-PMS2
PA0991
7ml PMS2 (EP51) Bond RTU Primary

Downloads

Downloads

PMS2-L-CE

PA0991

Zuletzt angesehen