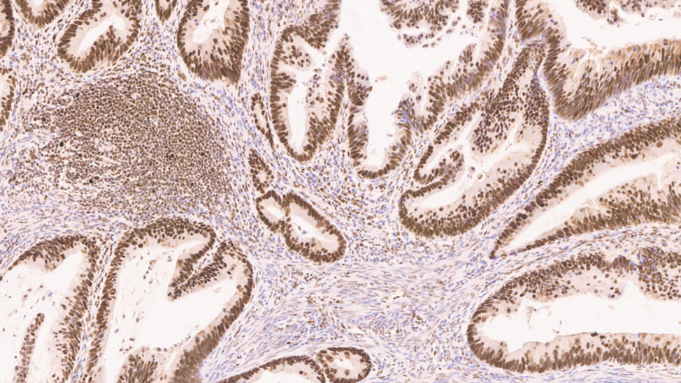
Colorectal carcinoma: immunohistochemical staining for mismatch repair protein (MLH1). Note nuclear staining in a high proportion of the malignant cells. Mismatch Repair Protein (MLH1): clone ES05.

Mismatch Repair Protein (MLH1)

Hintergrund des Antigens

MLH1 ist ein Mismatch Repair Protein, das zusammen mit MSH2, MSH6 und PMS2 an der Aufrechterhaltung der Integrität genetischer Informationen beteiligt ist. Bei der DNA-Replikation kann es zu einer Fehlausrichtung des DNA-Strangs kommen, was zu Veränderungen bei den Mikrosatellitenrepeats, oft auch als Mikrosatelliteninstabilitäten (MSI) bezeichnet, führt.

Diese Defekte in den Signalpfaden der DNA-Reparatur wurden mit der humanen Karzinogenese in Verbindung gebracht. Mutationen im MLH1-Gen wurden in Tumoren mit MSI wie einige Formen von Kolonkarzinom, z. B. das hereditäre nicht-Polyposis-assoziierte kolorektale Karzinom (HNPCC), eine Untergruppe der sporadischen kolorektalen Karzinome, und bei Brustkrebs beobachtet.

Der Verlust der Expression von MLH1 wurde ebenfalls bei akuter lymphatischer Leukämie, bei Endometriumkarzinomen, Magenkarzinomen und Ovarialkarzinomen gefunden.

Produkte

Produkte

MLH1-L-CE
1ml NCL-L-MLH1
PA0988
7ml MLH1 (ES05) Bond RTU Primary

Downloads

Downloads

MLH1-L-CE

PA0988

Zuletzt angesehen