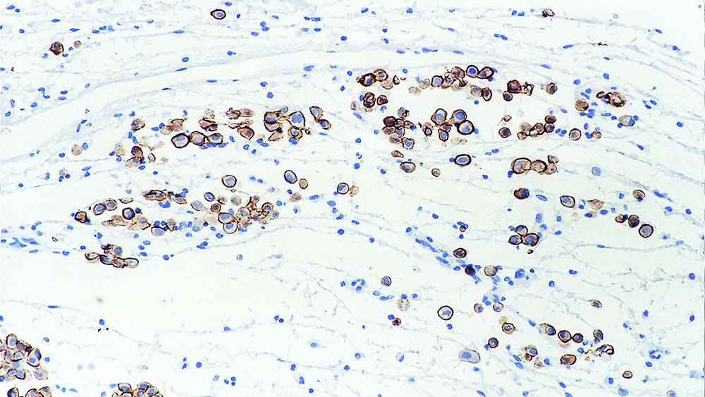
Human mesothelioma: immunohistochemical staining for Mesothelin. Note intense membrane staining of tumor cells. Mesothelin: clone 5B2

Mesothelin

Hintergrund des Antigens

Mesothelin ist ein glykosyl-phosphatidylinositol-(GPI)-verankertes 40-kD-Glykoprotein an der Oberfläche von Mesothelzellen, in Mesotheliomen, epithelialen Ovarialkarzinomen und einigen Plattenepithelkarzinomen.

Es wird als 69-kD-Vorläufer synthetisiert, der enzymatisch in eine N-terminale sekretierte Form von 30 kD und die GPI-verankerte, membrangebundene Form von 40 kD gespalten wird.

Die sekretierte Form ist mit dem Megakaryozyten potenzierenden Faktor identisch, jedoch ist es die GPI-verankerte membrangebundene Form, die das Interesse geweckt hat. Mesothelin wird reichlich in der Niere und vereinzelt in den Epithelzellen von Trachea, Tonsillen und Eileiter exprimiert.

Die Funktion von Mesothelin ist unklar, könnte jedoch bei der zellulären Adhäsion eine Rolle spielen. Mesothelin kommt reichlich in den normalen Mesothelzellen vor, aus denen maligne Mesotheliome und Zystadenokarzinomen des Ovars abgeleitet werden.

Produkte

Produkte

MESO-L-CE
1ml NCL-L-MESO
PA0373
7ml Mesothelin Bond RTU Primary

Downloads

Downloads

MESO-L-CE

PA0373

Zuletzt angesehen