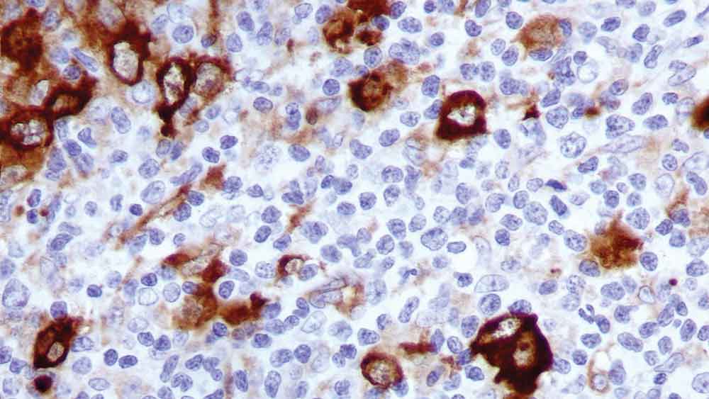
Human skin, melanoma: immunohistochemical staining for Melan A. Note the melanoma showing cytoplasmic staining of tumor cells. Melan A: clone A103

Melan A

Hintergrund des Antigens

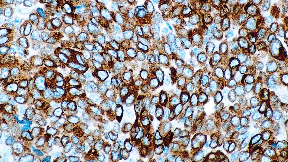
Melan A, ein Produkt des MART-1-Gens, ist ein Melanozyt-Differenzierungsmarker, der von autologen zytotoxischen T-Lymphozyten erkannt wird.

Andere melanomassoziierte Marker, die von autologen zytotoxischen T-Zellen erkannt werden, sind unter anderem MAGE-1, MAGE-3, Tyrosinasen, gp100, gp75, BAGE-1 und GAGE-1.

Die Analyse dieser verschiedenen Moleküle und deren Expression in den einzelnen Melanomen kann bei der Untersuchung ihrer jeweiligen spezifischen molekularen Rolle bei der Melanozyt-Differenzierung und Tumorgenese hilfreich sein.

Produkte

Produkte

MELANA-L-CE
1ml NCL-L-MelanA
PA0044
30ml Melan A Bond RTU Primary
PA0233
7ml Melan A Bond RTU Primary

Downloads

Downloads

MELANA-L-CE

PA0044

PA0233

Zuletzt angesehen