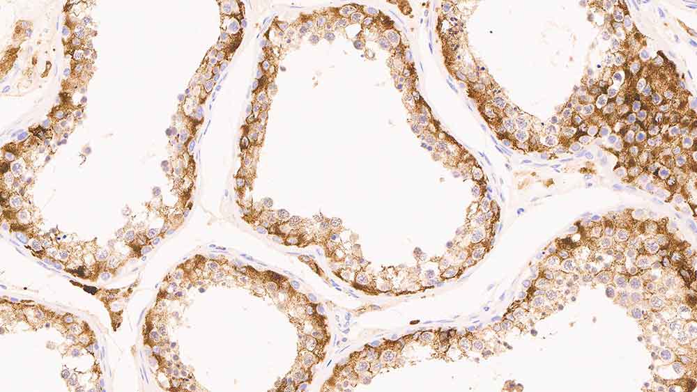
Human testis: immunohistochemical staining for inhibin alpha showing cytoplasmic staining of Sertoli cells. Inhibin Alpha: clone R1

Inhibin (alpha)

Hintergrund des Antigens

Inhibine sind Peptidhormone, die von den Granulosazellen in weiblichen Follikeln und den Sertoli-Zellen der männlichen Samenkanäle produziert werden. Sie scheinen sich gegen die Funktionen der Aktivine zu richten, da Inhibine und Aktivine die Sekretion von Follitropin durch die Hirnanhangdrüse inhibieren bzw. aktivieren.

Inhibin besteht aus 2 Untereinheiten (Alpha und Beta), die durch unterschiedliche Gene codiert werden. Durch die Alpha-Untereinheit wird bestimmt, ob Inhibin oder Aktivin produziert wird.

Der Antikörper kann sich bei der Differenzierung von Nebennierenrindentumoren, plazentalen und gestationalen trophoblastischen Läsionen sowie Keimstrang-Stromatumoren als wertvoll erweisen.

Produkte

Produkte

INHIBINA-L-CE
1ml NCL-L-InhibinA
PA0488
7ml Inhibin A (R1) Bond RTU Primary

Downloads

Downloads

INHIBINA-L-CE

PA0488

Zuletzt angesehen