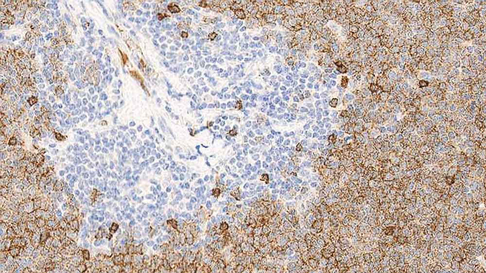
Mantle cell lymphoma: immunohistochemical staining for Immunoglobulin D. Note the mantle cell tumor cells show moderate staining for Immunoglobulin D, with a stronger reaction seen in plasma cells. Immunoglobulin D: clone DRN1C

Immunoglobulin D

Hintergrund des Antigens

IgD und IgM sind die wichtigsten, auf der Oberfläche von B-Zellen exprimierten Immunglobuline, wo sie anscheinend als sich gegenseitig beeinflussende Antigenrezeptoren zur Steuerung der Lymphozytenaktivierung und -unterdrückung arbeiten.

Die größere Empfindlichkeit des IgD in Verbindung mit Antigenproteolyse könnte durchaus mit dieser Funktion verbunden sein.

Die Verwendung von PBS-basierten Verdünnungspuffern kann zu erhöhter Hintergrundfärbung führen. Klon DRN1C wurde entwickelt, um die Hintergrundfärbung zu reduzieren, die mit polyklonalen Antikörpern in Paraffinschnitten in Verbindung gebracht wird.

Produkte

Produkte

IGD-L-CE
1ml NCL-L-IgD
PA0061
7ml IgD (DRN1C) Bond RTU Primary

Downloads

Downloads

IGD-L-CE

PA0061

Zuletzt angesehen