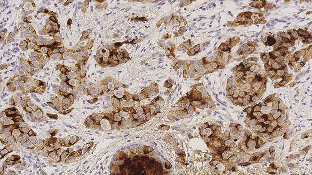
Invasive breast carcinoma: immunohistochemical staining for Gross Cystic Disease Fluid Protein-15. Note the cytoplasmic staining in tumor cells. Gross Cystic Disease Fluid Protein-15: clone 23A3

Gross Cystic Disease Fluid Protein-15

Hintergrund des Antigens

Die zystische Mastopathie ist eine benigne prämenopausale Erkrankung, bei der Zysten in der Brust auftreten. Diese Zysten scheinen durch eine exzessive apokrine zystische Sekretion bedingt zu sein.

Die Flüssigkeit, die sie enthalten, setzt sich aus mehreren Glykoproteinen zusammen, darunter einem einzigartigen monomeren Protein von 15 kD, dem GCDFP-15. Es ist beschrieben, dass GCDFP-15 anhand von Analysen des Zytosols im Normalgewebe der Hauptorgane im apokrinen Epithel, in Tränen-, Zeruminal- und Moll-Drüsen sowie in zahlreichen serösen Zellen der submandibulären, trachealen, bronchialen und sublingualen Drüsen sowie den kleinen Speicheldrüsen nachgewiesen werden konnte.

Im Zytosol von Mammakarzinomen soll GCDFP-15 in ganz unterschiedlichen Konzentrationen enthalten sein. Berichten zufolge ist die Konzentration in den differenzierteren Karzinomen am höchsten, dagegen kommt GCDFP-15 in normalem Brustgewebe nur in einigen wenigen vereinzelten Epithelzellen in den Lobuli und kleinen Gängen vor. Auch bei Fibroadenomen in Bereichen mit apokrinen Metaplasien wird eine Expression beschrieben. Die Koexpression von GCDFP-15 und prostataspezifischem Antigen wurde bei androgenrezeptor-positiven Mammatumoren beobachtet.

Produkte

Produkte

GCDFP15-L-CE
1ml NCL-L-GCDFP15
PA0708
7ml GCDFP15 Bond RTU Primary

Downloads

Downloads

GCDFP15-L-CE

PA0708

Zuletzt angesehen