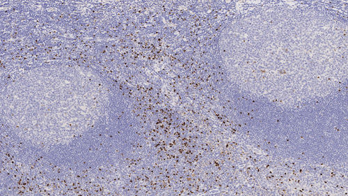
Human Tonsil: Immunohistochemistry staining of FOXP3. FOXP3: clone 236A/E7
Human Tonsil: Immunohistochemistry staining of FOXP3. FOXP3: clone 236A/E7
FOXP3
Hintergründe des Antigens FOXP3 (Forkhead Box Protein 3, Scurfin) ist ein Teil der Forkhead-Box(FOX)-Familie der Transkriptionsfaktoren. Diese Proteine sind durch eine hoch konservierte Forkhead-DNA-Bindedomäne charakterisiert. FOXP3 spielt eine wichtige Rolle bei der Immunregulation, mit seiner Auswirkung auf die Reduktion der Interleukin-2-Expression, was zu einer verringerten Funktion der T-Helferzellen führt. Die Rolle von FOXP3 bei Krebs ist vielseitig; es spielt sowohl bei der Tumorprogression (über die Suppression der T-Zellaktivität) als auch bei der Onkogensuppression eine Rolle.
Haftungsausschluss FOXP3 wird für den Nachweis bestimmter Antigene in normalem und neoplastischem Gewebe als zusätzliches Hilfsmittel zur herkömmlichen Histopathologie unter Verwendung nicht-immunologischer histochemischer Färbemittel empfohlen.
Produkte
Produkte
PA0263
7mL FOXP3 (236A/E7) BOND RTU Primary
Product is out of stock
Due to manufacturing & supply chain issues, this product is currently unavailable. You may place your order and it will be fulfilled when the product is back in stock. For more help, please reach out to customer service at +1 844 534 2262 or nonurgentcs@leicabiosystems.com
Product is limited in stock
Product availability is limited, but products are in continuous production. Your order will be processed as normal and may take additional days to ship.