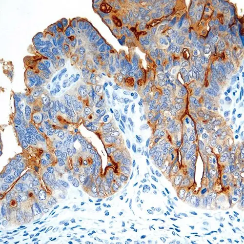
Ovarian tumor: immunohistochemical staining for Folate Receptor Alpha. Note intense cytoplasmic staining. Folate Receptor Alpha: clone BN3.2

Folate Receptor Alpha

Hintergrund des Antigens

Folat ist eine Basiskomponente für den Zellstoffwechsel und die DNA-Synthese und -Reparatur. Dieses Vitamin, das sowohl von normalen Zellen als auch von Tumorzellen benötigt wird, ist an wichtigen Transferreaktionen von C1-Einheiten beteiligt. Das Eindringen von Folat in die Zellen wird durch zwei verschiedene Systeme erleichtert: den Reduced Folate Carrier, der einen bidirektionalen Anionenaustausch-Mechanismus nutzt, und das Folatrezeptor-System.

Folatrezeptor alpha ist ein membrangebundenes Mitglied der Folatrezeptorfamilie, das den Folattransport über einen als Potocytose bezeichneten Mechanismus ermöglicht, bei dem der Rezeptor zunächst internalisiert und dann wieder zurück an die Zellmembran transportiert wird. Aufgrund dieses Mechanismus kommt es sowohl zur membranösen als auch zytoplasmatischen Färbung.

Den Mitgliedern der Folatrezeptorfamilie gemeinsam sind hoch konservierte Sequenzen in den offenen Leserastern (open reading frames), aber sie unterscheiden sich durch die Aminosäuren in den 5'-nicht-translatierten Regionen und können infolgedessen unterschiedliche Funktionen und Gewebeexpressionsmuster aufweisen. Die Expression von Folatrezeptor alpha soll in normalen Geweben stark eingeschränkt sein; er wird nur bei einer begrenzten Zahl epithelialer Malignome selektiv überexprimiert.

Produkte

Produkte

FRALPHA-L-CE
1ml NCL-L-FRalpha

Downloads

Downloads

FRALPHA-L-CE

Zuletzt angesehen