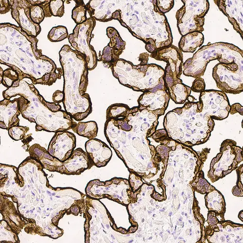
Human placenta: immunohistochemical staining for Epidermal Growth Factor Receptor. High expression of EGFR localized in the trophoblastic layer of the placental villi. Epidermal Growth Factor Receptor: clone EGFR.113

Epidermal Growth Factor Receptor

Hintergrund des Antigens

Der epidermale Wachstumsfaktor-Rezeptor (EGFR) ist ein Transmembranprotein-Rezeptor von 170 kD mit Tyrosinkinase-Aktivität. Ein Anstieg der EGFR-Spiegel wird mit malignen Transformationen der Plattenepithelzellen in Verbindung gebracht, d. h. mit Plattenepithelzellkarzinomen von Lunge, Kopf, Hals, Haut, Zervix und Ösophagus.

EGFR spielt möglicherweise auch eine Rolle bei der Entwicklung und Progression hepatozellulärer Karzinome; hierbei zeigen EGFR-positive Fälle eine höhere Rezidivrate. Eine vergleichbare Korrelation wurde bei kolorektalen Karzinomen beobachtet, bei denen der von den Tumorzellen ausgeschüttete EGFR sich stark auf die Invasivität und Proliferation der kolorektalen Karzinome auswirkt.

In den meisten über die EGFR-Expression beim humanen Brustkrebs publizierten Studien wurde ebenfalls eine Verbindung zwischen der EGFR-Expression aufgezeigt, wobei diese in umgekehrter Beziehung zum Östrogenrezeptorstatus steht.

Klon EGFR.25 wurde auf die zytoplasmatische Domäne des EGFR-Moleküls und Klon EGFR.113 auf die extrazelluläre Domäne abgestimmt.

Produkte

Produkte

EGFR-L-CE
1ml NCL-L-EGFR

Downloads

Downloads

EGFR-L-CE

Zuletzt angesehen