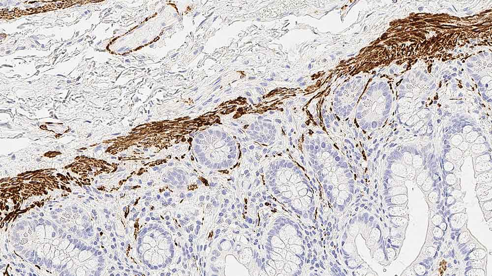
Human bowel: immunohistochemical staining for desmin. Note cytoplasmic staining of smooth muscle containing cells. Desmin: clone DE-R-11

Desmin

Hintergrund des Antigens

NCL-DES-DERII reagiert mit einem Stück der Spindel von 18 kD des Intermediärfilament-Proteins Desmin (53 kD) in Muskelzellen. Der Antikörper scheint andere Intermediärfilament-Proteine nicht zu erkennen.

In normalem Gewebe reagiert Klon DE-RII sowohl mit Muskelzellen der gestreiften (Skelettmuskulatur und Herzmuskel) als auch glatten Muskulatur. Die Markierung beschränkt sich auf die Z-Banden der Skelettmuskulatur und des Herzmuskels und zeigt ein charakteristisches gestreiftes Erscheinungsbild.

Produkte

Produkte

DES-DERII-L-CE
1ml NCL-L-DES-DERII
PA0032
7ml Desmin Bond RTU Primary

Downloads

Downloads

DES-DERII-L-CE

PA0032

Zuletzt angesehen