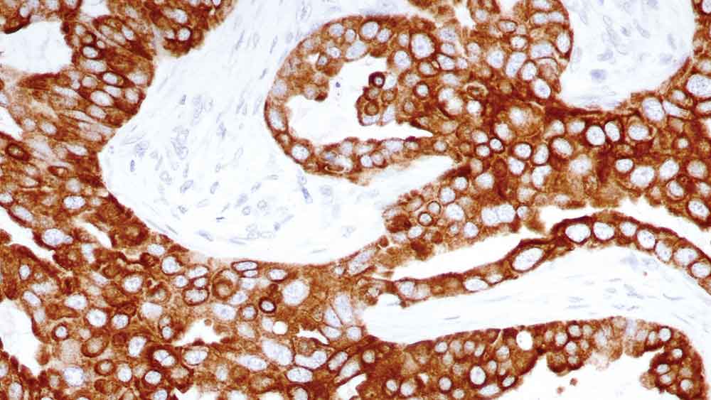
Immunohistochemical staining for Cytokeratin 8: clone TS1

Cytokeratin 8

Hintergrund des Antigens

Cytokeratin 8, auch bekannt als Tissue Polypeptide Antigen (TPA), ist zusammen mit Cytokeratin 18 eines der ersten Cytokeratine, die im Embryo exprimiert werden, und persistiert auch in adulten Geweben. Beide Cytokeratine, 8 und 18, sind wichtige Bestandteile aller einschichtigen Epithelien, fehlen aber im mehrschichtigen Plattenepithel. Cytokeratin 8, das in Adenokarzinomen exprimiert wird, ist auch im Serum betroffener Patienten nachweisbar.

Klon TS1 reagiert mit dem Intermediärfilamentprotein des humanen Cytokeratins (52,5 kD), das als Cytokeratin 8 identifiziert wurde.

Produkte

Produkte

CK8-TS1-L
1ml NCL-L-CK8-TS1
PA0567
7ml Cytokeratin 8 BondRTU Prim

Downloads

Downloads

CK8-TS1-L

PA0567

Zuletzt angesehen