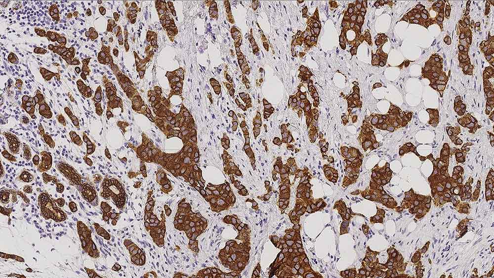
Invasive breast carcinoma: immunohistochemical staining for Cytokeratin 7. Note the intense staining of invasive tumor cells. Cytokeratin 7: clone RN7

Cytokeratin 7

Hintergrund des Antigens

Cytokeratine sind in Epithelzellen vorhandene intermediäre Filamentproteine. Sie werden gewebespezifisch in normalen Organen und den aus diesen entstehenden Tumoren exprimiert. Cytokeratin 7 gehört zur neutral-basischen Unterfamilie vom Typ B. Seine Verteilung ist auf Drüsen- und Übergangsepithelien begrenzt. Es wird in hohen Mengen in kultivierten Bronchial- und Mesothelzellen, aber nur in geringeren Mengen in kultivierten Epidermiszellen exprimiert.

Die erwartete Aminosäuresequenz dieses Keratins hat einen auffälligen Unterschied zwischen diesem und den in Epidermiszellen exprimierten Typ II-Keratinen ergeben. Cytokeratin 7 wurde in Adenokarzinomen von Lunge, Brust, Endometrium, Ovar und Schilddrüse sowie in Blasenkarzinomen und chromophoben Nierenzellkarzinomen nachgewiesen. Die Expression von Cytokeratin 7 und Cytokeratin 20 zeigt charakteristische Muster bei primären und metastasierenden Lungen- und Kolorektaladenokarzinomen.

Während Klon OV-TL 12/30 zu einer unerwünschten Färbung von Endothelzellen führen kann, färbt Klon RN7 diese Zellarten nicht. Um mit Klon OV-TL 12/30 optimale Ergebnisse zu erzielen, muss der Anwender selbst zwischen der wärmeinduzierten oder enzymatischen Epitopdemaskierung wählen. Die Klone RN7, OV-TL 12/30 und LP5K reagieren mit dem humanen Cytokeratinprotein des intermediären Filaments (54 kD), das als Cytokeratin 7 identifiziert wurde.

Produkte

Produkte

CK7-560-L-CE
1ml NCL-L-CK7-560
CK7-OVTL-L-CE
1ml NCL-L-CK7-OVTL
PA0138
30ml Cytokeratin 7 Bond RTU Primary
PA0942
7ml Cytokeratin 7 Bond RTU Primary

Downloads

Downloads

CK7-560-L-CE

CK7-OVTL-L-CE

PA0138

PA0942

Zuletzt angesehen