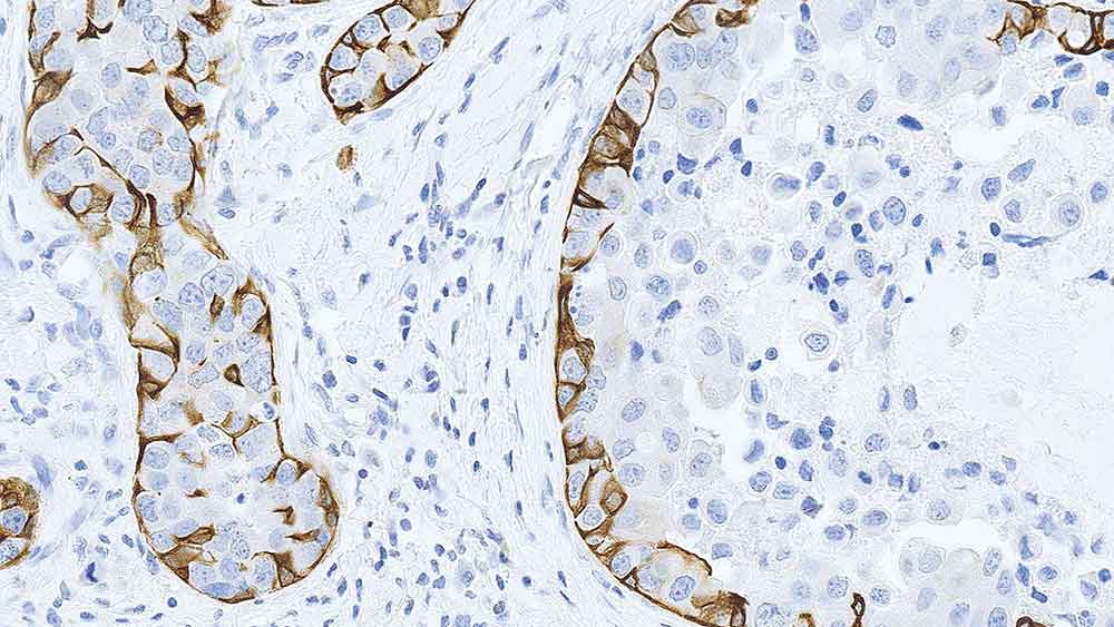
Human breast, ductal carcinoma in situ: immunohistochemical staining for Cytokeratin 5. Note the intense staining of myoepithelial cells. Cytokeratin 5: clone XM26
Human breast, ductal carcinoma in situ: immunohistochemical staining for Cytokeratin 5. Note the intense staining of myoepithelial cells. Cytokeratin 5: clone XM26
Cytokeratin 5
CK5 ist ein eng mit CK6 verwandtes Protein von 58 kD.
CK5 wird in vielen nicht-keratinisierenden mehrschichtigen Plattenepithelien exprimiert,
einschließlich: Basalepithelien, Haarfollikel, Luftröhre, Zungenschleimhaut, Basalzellen der Prostata und Muskelepithelzellen der Brustdrüsen.
Das CK5-Protein ist auch bei den meisten
epithelialen und biphasischen Mesotheliomen, großzelligem Karzinom und Plattenepithelkarzinomen der Lunge nachweisbar.
Klon XM26 ist spezifisch für das Intermediärfilamentprotein Cytokeratin 5
von 58 kDa, und zwar ohne Kreuzreaktivität mit Cytokeratin 6.
Produkte
Produkte
CK5-L-CE
1ml NCL-L-CK5
Product is out of stock
Due to manufacturing & supply chain issues, this product is currently unavailable. You may place your order and it will be fulfilled when the product is back in stock. For more help, please reach out to customer service at +1 844 534 2262 or nonurgentcs@leicabiosystems.com
Product is limited in stock
Product availability is limited, but products are in continuous production. Your order will be processed as normal and may take additional days to ship.
This item replaces
CK5-CECK5-CE-SCK5-L-CE-SCK5-L-SCK5-R-7-CECK5-L-CE-HCK5-L-HCK5-L