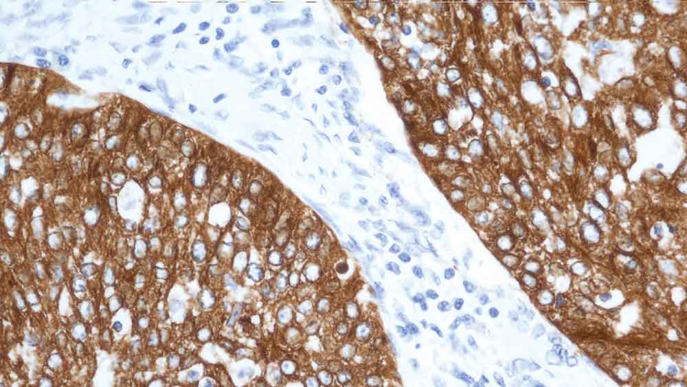
Human rectal adenocarcinoma: immunohistochemical staining for Cytokeratin 19. Note: cytoplasmic staining of malignant epithelial cells. Cytokeratin 19: clone b170

Cytokeratin 19

Hintergrund des Antigens

Das kleinste humane Cytokeratin-Intermediärfilamentprotein (40 kD) wurde als Cytokeratin 19 identifiziert; es wird in einer Vielzahl an Epithelzellarten, darunter auch zahlreichen Duktus- und Drüsenepithelgeweben exprimiert.

NCL-CK19 führt zu einem komplexen heterogenen Färbemuster beim nicht-keratinisierenden Plattenepithel und in Haarfollikeln, wobei eine starke Anfärbung der Basalschicht beobachtet wird.

Produkte

Produkte

PA0799
7ml Cytokeratin 19 Bond RTU Primary

Downloads

Downloads

PA0799

Zuletzt angesehen