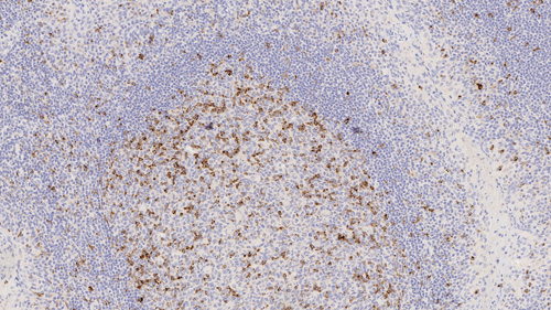
Human Tonsil: immunohistochemistry staining of CTLA-4. CTLA-4: clone CAL49
Human Tonsil: immunohistochemistry staining of CTLA-4. CTLA-4: clone CAL49
CTLA-4
Hintergründe des Antigens CTLA-4, das zytotoxische T-Zell-Antigen-4 mit T-Zell-Co-Rezeptor (CTLA-4, CD152), ist ein kritischer inhibitorischer Regulator der TZell-Immunität. CTLA-4 wird fast ausschließlich auf CD4+ und CD8+ T-Zellen exprimiert und ist für die Erhaltung der T-ZellHämostase wesentlich. Die Expression wird auf aktivierten T-Zellen induziert, mit geringfügiger Expression auf ruhenden Zellen. Die Rolle von CTLA-4 bei der Regulierung der T-Zellaktivität in der Tumormikroumgebung weist auf eine potenzielle Rolle bei der Kontrolle der Tumorprogression hin.
Haftungsausschluss CTLA-4, wird für den Nachweis bestimmter Antigene in normalem und neoplastischem Gewebe als zusätzliches Hilfsmittel zur herkömmlichen Histopathologie unter Verwendung nicht-immunologischer histochemischer Färbemittel empfohlen.
Produkte
Produkte
PA0181
7mL CTLA-4 (CAL49) BOND RTU Primary
Product is out of stock
Due to manufacturing & supply chain issues, this product is currently unavailable. You may place your order and it will be fulfilled when the product is back in stock. For more help, please reach out to customer service at +1 844 534 2262 or nonurgentcs@leicabiosystems.com
Product is limited in stock
Product availability is limited, but products are in continuous production. Your order will be processed as normal and may take additional days to ship.