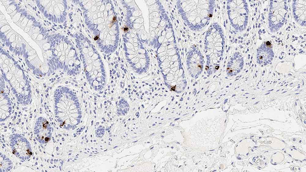
Human small bowel: immunohistochemical staining for Chromogranin A. Note cytoplasmic staining of neuroedocrine cells. Chromogranin A: clone 5H7

Chromogranin A

Hintergrund des Antigens

Chromogranin A ist ein azides Protein von 68 kD, das in erheblichem Umfang in Nervengewebe und den sekretorischen Granula humaner endokriner Zellen exprimiert werden soll, z. B. in der Nebenschilddrüse, der adrenalen Medulla, dem Hypophysenvorderlappen, den Inselzellen des Pankreas und den C-Zellen der Schilddrüse.

Eine Chromogranin A-Expression wurde bei neuroendokrinen Tumoren wie Hypophysenadenomen, Inselzelltumoren, Phäochromozytomen, medullären Schilddrüsenkarzinomen, Merkelzelltumoren und Karzinoiden nachgewiesen.

Produkte

Produkte

CHROM-430-L-CE
1ml NCL-L-CHROM-430
PA0515
7ml ChromograninA (5H7) Bond RTU Primary

Downloads

Downloads

CHROM-430-L-CE

PA0515

Zuletzt angesehen