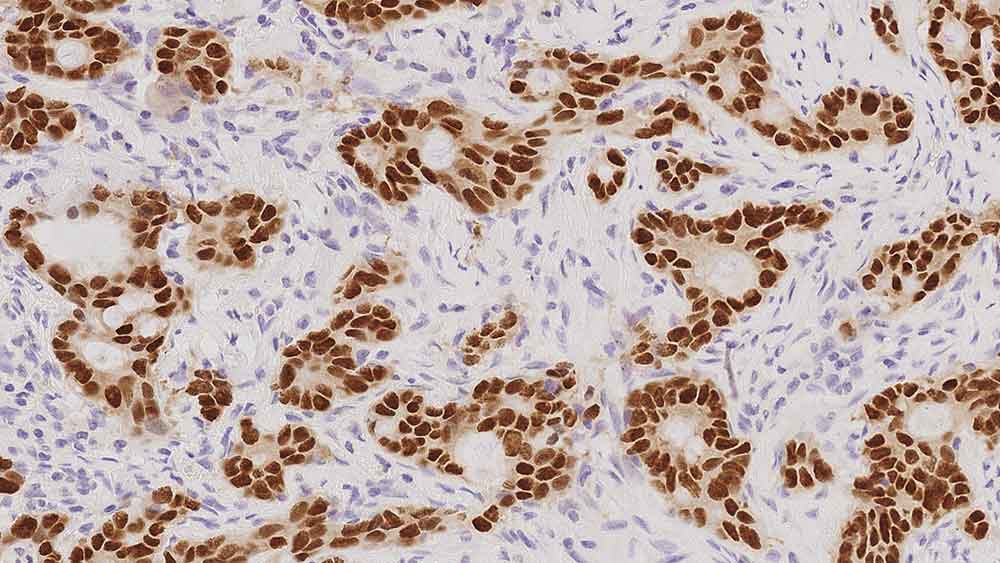
Human colonic adenocarcinoma: immunohistochemical staining for CDX2. Note the nuclear and cytoplasmic staining of malignant cells. CDX2: clone EP25

CDX2

Hintergrund des Antigens

CDX2 ist ein darmspezifischer Transkriptionsfaktor aus der Familie der caudal-type Homeobox-Proteine, der im Frühstadium der Darmentwicklung exprimiert wird und möglicherweise an der Regulation der Proliferation und Differenzierung der Darmepithelzellen beteiligt ist.

CDX2 ist ebenso wie CDX1 von besonderem Interesse, da der Darm das einzige Organ ist, das nachweisbare Konzentrationen dieser beiden Genprodukte enthält. CDX2 wird primär auf der Oberfläche der Zotten und in den Krypten exprimiert.

Im Gegensatz zu CDX1 ist eine intensive CDX2-Expression im gesamten sich entwickelnden Darm mit Ausnahme des distalen Teils beschrieben. Ein Verlust von CDX2 kann die Progression bestimmter sporadischer Kolorektalkarzinome begünstigen, und CDX2 könnte zudem mit der Karzinogenese von Magenkrebs assoziiert sein, da die Expression der CDX2-mRNA mit dem Übergang von gut differenzierten zu schwach differenzierten Magenkarzinom-Zelllinien immer mehr abnimmt.

Produkte

Produkte

PA0375
7ml CDX2 (EP25) Bond RTU Primary

Downloads

Downloads

PA0375

Zuletzt angesehen