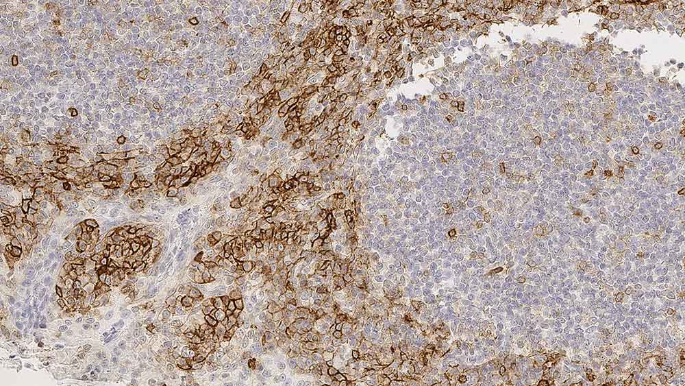
Human tonsil: immunohistochemical staining for CD99. Note membrane staining of vessel endothelium and a subpopulation of lymphocytes. CD99: clone PCB1

CD99

Hintergrund des Antigens

CD99 ist ein Transmembran-Glykoprotein von 32 kDa, das vom MIC2-Gen kodiert wird, welches sich in der pseudoautosomalen Region der humanen X- und Y-Chromosome befindet.

Für das MIC2-Gen wurde nachgewiesen, dass es zwei unterschiedliche Proteine kodiert, die durch alternatives Splicing des CD99-Gentranskripts produziert werden und als Banden von 30 bzw. 32 kD (p30/32) identifiziert wurden. Auch wenn seine Funktion noch nicht vollständig bekannt ist, so wird CD99 doch mit diversen zellulären Prozessen in Verbindung gebracht, z. B. der homotypischen Aggregation von T-Zellen, der Hochregulierung von T-Zell-Rezeptor und MHS-Molekülen, der Apoptose unreifer Thymozyten und der Leukozyten-Diapedese.

CD99 wird auf den meisten humanen Geweben exprimiert, darunter kortikalen Thymozyten, Inselzellen das Pankreas, Leydig- und Sertolizellen, praktisch allen hämatopoetischen Zellen (mit Ausnahme der Granulozyten), Lymphozyten im peripheren Blut, Granulosazellen der Eierstöcke, Endothelzellen und Zellen des basalen/parabasalen Plattenepithels. Eine CD99-Expression wurde bei einem breiten Spektrum an Tumoren wie Ewing-Sarkom und T-Zell-Lymphomen beobachtet.

Produkte

Produkte

CD99-187-L-CE
1ml NCL-L-CD99-187

Downloads

Downloads

CD99-187-L-CE

Zuletzt angesehen