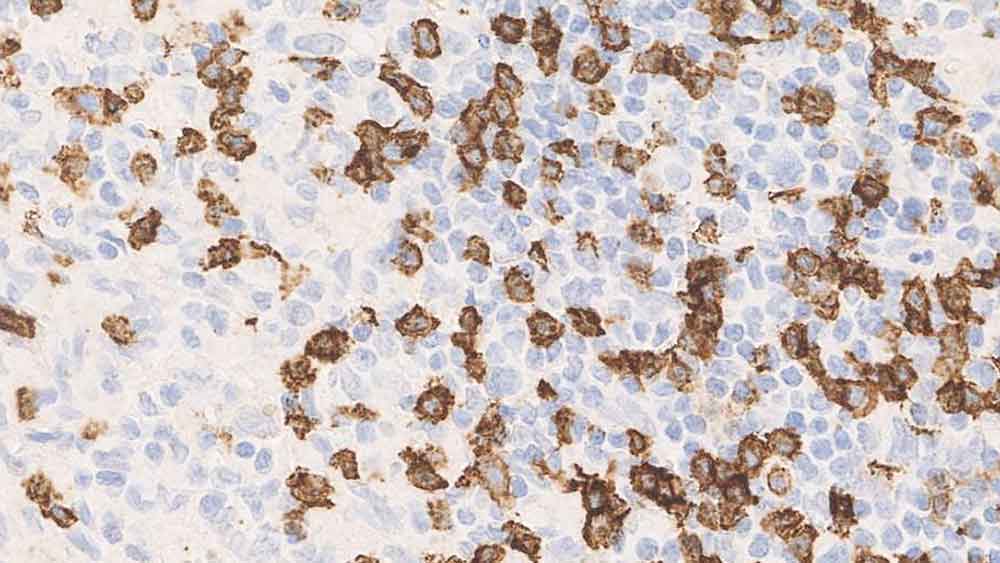
Human lymph node, T cell lymphoma: immunohistochemical staining for CD8. Note the neoplastic cells show a moderate to strong, distinct membrane staining reaction. CD8: clone 4B11

CD8

Hintergrund des Antigens

Das CD8-Molekül besteht aus zwei Ketten und hat ein Molekulargewicht von 32 kD. Es ist auf einer Untergruppe von T-Zellen nachweisbar, die zu den normalen zytotoxischen Zellen/Suppressorzellen gehören und die etwa 20 bis 35 % der Lymphozyten im peripheren Blut ausmachen.

Das CD8-Antigen ist in natürlichen Killerzellen und 80 % aller Thymozyten, bei einer Subpopulation von 30 % der Nullzellen im peripheren Blut und bei 15 bis 30 % aller Knochenmarkzellen nachweisbar.

Produkte

Produkte

CD8-4B11-L-CE
1ml NCL-L-CD8-4B11
PA0183
7ml CD8 Bond RTU Primary

Downloads

Downloads

CD8-4B11-L-CE

PA0183

Zuletzt angesehen