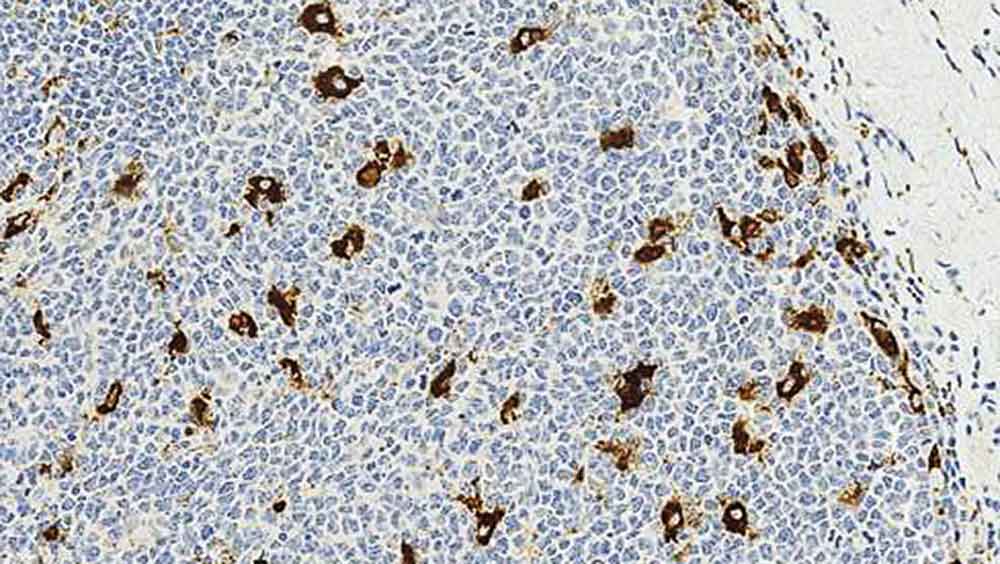
Human tonsil: immunohistochemical staining for CD68. Note the germinal centre macrophages show a strong cytoplasmic staining reaction, while the interfollicular macrophages show correct weak to moderate staining reaction. CD68: clone 514H12

CD68

Hintergrund des Antigens

Das CD68-Molekül ist ein intrazelluläres Glykoprotein von 110 kD, das in erster Linie mit den zytoplasmatischen Granula und in einem geringeren Maß mit den Membranen von Makrophagen assoziiert ist.

Marker für das CD68-Antigen werden in der Immunhistochemie hauptsächlich zur Identifizierung von Makrophagen herangezogen. Allerdings ist CD68 auch in Monozyten, Neutrophilen, Basophilen und großen Lymphozyten nachweisbar.

Die Funktion der CD68-Moleküle ist noch nicht vollständig erforscht, jedoch sind diese lysosomalen Membranproteine wichtige Bestandteile, die die Membranen möglicherweise gegen Angriffe seitens saurer Hydrolasen schützen. Es ist noch unklar, ob das oberflächenassoziierte CD68-Protein funktionell signifikant oder die Folge eines Entweichens aus Lysosomen ist.

Die Expression des CD68-Proteins war auf stimulierten T-Zellen und NK-Zellen sowie in nicht-hämatopoetischen Geweben wie Leber und Nierentubuli nachweisbar.

Produkte

Produkte

CD68-L-CE
1ml NCL-L-CD68
PA0273
7ml CD68 Bond RTU Primary

Downloads

Downloads

CD68-L-CE

PA0273

Zuletzt angesehen