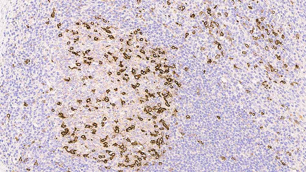
Human tonsil: immunohistochemical staining of T lymphocytes. CD57: clone NK-1

CD57

Hintergrund des Antigens

Das CD57-Glykcoprotein, auch als HNK-1 bekannt, hat ein Molekulargewicht von 110 kD.

Es ist auf einer Untergruppe mononukleärer Zellen mit natürlicher Killeraktivität und auf neuroektodermalen Zellen nachweisbar, die Myelin-assoziiertes Glykoprotein exprimieren. Viele Zellen, die CD57- und CD8-Proteine ko-exprimieren, bilden eine Untergruppe der Suppressorzellen/zytotoxischen T-Zellen. Diese Zellen spielen eine Rolle bei der Abstoßungsreaktion bei einer akuten Transplantat-Wirt-Reaktion (Graft-versus-Host Disease). Erythrozyten oder Thrombozyten exprimieren das CD57-Molekül nicht.

In manchen Fällen kann eine Enzymvorbehandlung das Färbeergebnis verbessern.

Produkte

Produkte

PA0443
7ml CD57 Bond RTU Prim

Downloads

Downloads

PA0443

Zuletzt angesehen