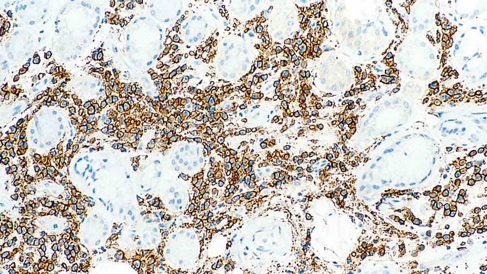
Chronically inflamed human bronchus: immunohistochemical staining CD38. Note intense membrane staining of infiltrating activated T lymphocytes. CD38: clone SPC32

CD38

Hintergrund des Antigens

Das CD38-Molekül ist ein einkettiges Transmembran-Glykoprotein vom Typ II mit einem Molekulargewicht von 46 kD. Es handelt sich um ein Ektoenzym, das die Aktivität der ADP-Ribosyl-Cyklase, der zyklischen ADP-Ribose Hydrolase und der NAD-Glycohydrolase zeigt und an der Bildung und Hydrolyse von cADPR beteiligt ist, einem Second Messenger, der die Mobilisierung intrazellulärer Ca2+ Ionen steuert.

Das CD38-Molekül wurde zwar ursprünglich als T-Lymphozyten-differenzierendes Antigen identifiziert, es wird aber von zahlreichen Zellen und Geweben exprimiert. Das CD38-Antigen kann starke Wachstums- und Differenzierungssignale an Zellen lymphatischen und myeloischen Ursprungs senden.

Es wird auf unreifen Zellen der B- und T-Zelllinien, nicht aber auf den meisten reifen ruhenden peripheren Lymphozyten gefunden. Außerdem ist es auf Thymozyten, Prä-B-Zellen, B-Zellen des Keimzentrums, mitogen-aktivierten T-Zellen, Ig-sezernierenden Plasmazellen, Monozyten, NK-Zellen, erythroiden und myeloiden Vorläuferzellen im Knochenmark und Gehirnzellen nachweisbar.

Das CD38-Antigen soll auch in Neurofibrillenbündeln nachgewiesen worden sein, dem Indikator für pathologische Veränderungen bei der Alzheimer-Krankheit, der in den neuronalen Perikarya und proximalen Dendriten anzutreffen ist.

Produkte

Produkte

CD38-290-L-CE
1ml NCL-L-CD38-290

Downloads

Downloads

CD38-290-L-CE

Zuletzt angesehen