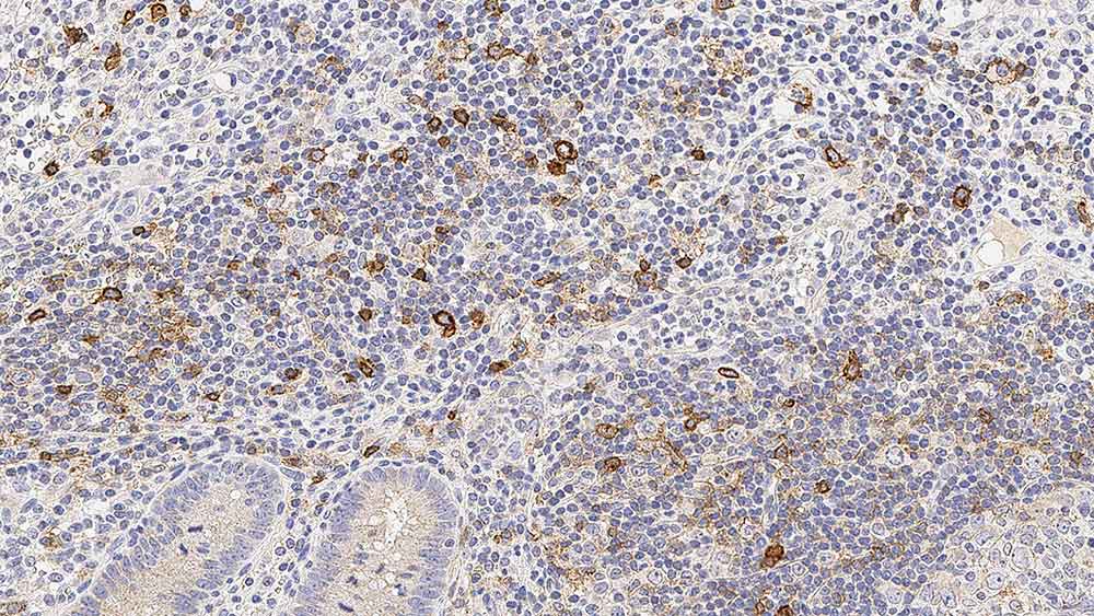
Human appendix: immunohistochemical staining for CD25. Note staining of activated lymphocytes. CD25: clone 4C9

CD25

Das CD25-Antigen, die Alpha-Untereinheit des Interleukin-2-Rezeptors, ist ein einkettiges Transmembran-Glykoprotein mit einem Molekulargewicht von 55 kD. Nach der Aktivierung von T-Zellen wird Interleukin-2 (IL-2) rasch synthetisiert und sezerniert.

Als Reaktion hierauf exprimiert eine T-Zellen-Subpopulation hochaffine Rezeptoren für IL-2. Diese Zellen proliferieren und vergrößern so die Population der T-Zellen, die in der Lage sind, Helfer- und Suppressorfunktionen sowie zytotoxische Wirkungen zu vermitteln.

Der IL-2-Rezeptor wird nicht ausschließlich auf T-Zellen nachgewiesen, sondern findet sich auch auf durch HTLV transformierten T- und B-Zellen, EBV-transformierten B-Zellen, myeloiden Vorläuferzellen und Oligodendrozyten. Er fehlt auf Thymozyten, ruhenden T-Zellen, nicht-aktivierten B-Zellen und Null-Zellen.

Die Expression des IL-2-Rezeptors wird mit inflammatorischen und malignen Erkrankungen, lymphoiden Neoplasien, Autoimmunerkrankungen und der Abstoßung von Allotransplantaten in Verbindung gebracht.

Produkte

Produkte

PA0305
7ml CD25 Bond RTU Primary

Downloads

Downloads

PA0305

Zuletzt angesehen