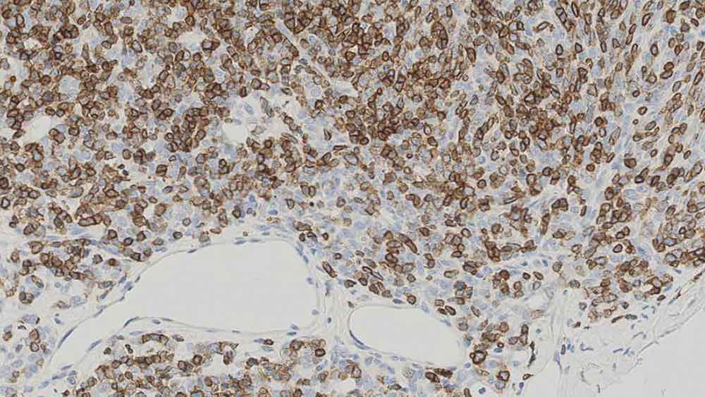
Human thymoma: immunohistochemical staining for CD1a. Note the neoplastic cells show a moderate to strong and distinct membrane staining reaction. CD1a: clone MTB1

CD1a

Hintergrund des Antigens

CD1a ist ein Protein von 43 bis 49 kD, das auf dendritischen Zellen und kortikalen Thymozyten exprimiert wird. Es wurde aufgezeigt, dass die CD1a-Antigenexpression bei der Differenzierung zwischen Langerhans'schen Zellen, in der Haut und im Epithel vorhandenen leistungsfähigen Antigen-präsentierenden Zellen und interdigitierenden Zellen hilfreich ist. In immunhistochemischen Studien über das CD1a-Antigen wurde neben einem Rückgang der epidermalen Langerhans'schen Zellen bei der Transplantat-Wirt-Reaktion auch die Beteiligung von CD1a-Antigen-positiven dendritischen Zellen bei der Entstehung atherosklerotischer Läsionen und asthmatischen Entzündungsreaktionen aufgezeigt. Klon MTB1 erkennt kortikale Thymozyten, Langerhans'sche Zellen in der Epidermis sowie interdigitierende Zellen der Dermis und des geschichteten Plattenepithels in den Tonsillen. Klon MTB1 kann auch kleine isolierte Lymphozytengruppen außerhalb der Keimzentren der Tonsillen nachweisen, was auf eine gewisse Kreuzreaktivität mit dem CD1b-Antigen schließen lässt. Auch Klon JPM30 weist kortikale Thymozyten, Langerhans'sche Zellen in der Epidermis, interdigitierende Zellen der Dermis und des geschichteten Plattenepithels in den Tonsillen nach, färbt aber darüber hinaus auch Schweißdrüsengänge in der Dermis und Epithelzellen des Dünndarms, ein Hinweis auf eine Kreuzreaktivität mit dem CD1d-Antigen.

Produkte

Produkte

CD1A-235-L-CE
1ml NCL-L-CD1a-235
PA0235
7ml CD1a Bond RTU Primary

Downloads

Downloads

CD1A-235-L-CE

PA0235

Zuletzt angesehen