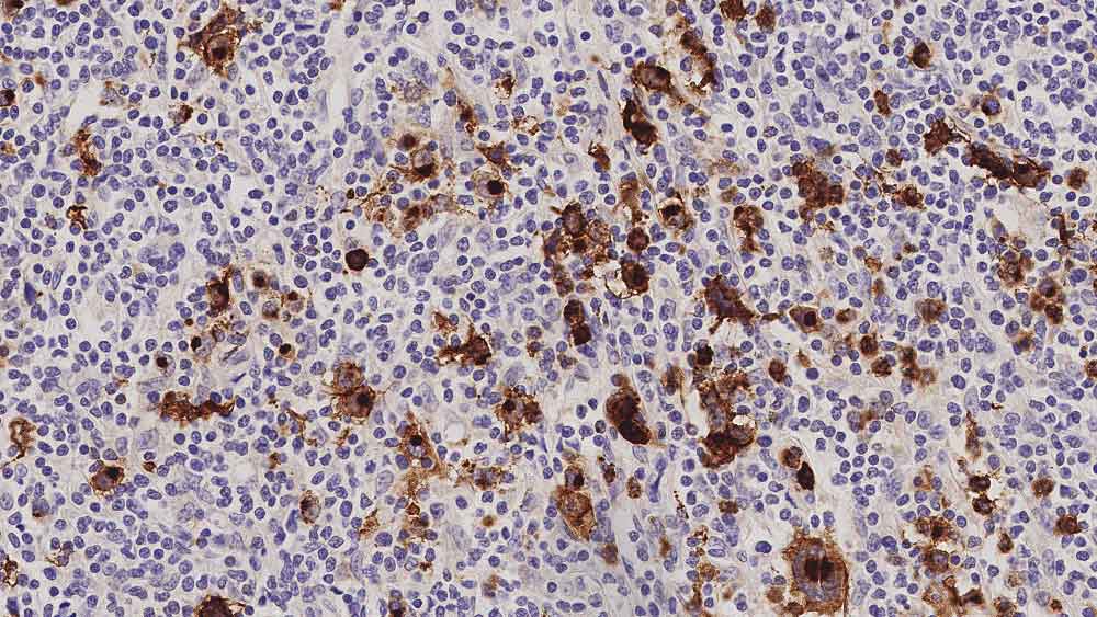
Hodgkin's disease, mixed cellularity: immunohistochemical staining for CD15. Note the mixed cellular membrane staining and characteristic staining of paranuclear hofs of Reed Sternberg cells. CD15: clone MMA

CD15

Hintergrund des Antigens

Das auch unter der Bezeichnung X-Hapten bekannte CD15-Antigen soll von 90 Prozent aller zirkulierenden humanen Granulozyten und 30 bis 60 Prozent der zirkulierenden Monozyten exprimiert werden; es fehlt bei normalen Lymphozyten.

Das CD15-Antigen wird zudem auf den Reed-Sternberg-Zellen bei Morbus Hodgkin und bestimmten Formen der Leukämie exprimiert. Bitte beachten Sie, dass das fixierte, paraffineingebettete Gewebe sowohl einer Enzymvorbehandlung als auch einem Verfahren zur hitzeinduzierten Epitopdemaskierung (Heat Induced Epitope Retrieval, HIER) zur Antigendemaskierung mit 1 mM EDTA (pH 8,0) Lösung unterzogen werden kann.

Der Anwender kann selbst entscheiden, welches Verfahren zur Antigendemaskierung er bevorzugt, um die besten Ergebnisse zu erzielen.

Produkte

Produkte

CD15-605-L-CE
1ml NCL-L-CD15-605
PA0473
7ml CD15 (MMA) Bond RTU Primary

Downloads

Downloads

CD15-605-L-CE

PA0473

Zuletzt angesehen