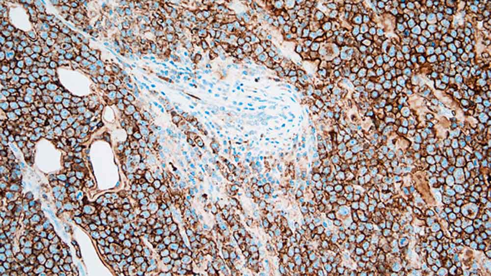
Plasmacytoma: immunohistochemical staining for CD138. Note the intense membrane staining of tumor cells. CD138: clone MI15

CD138 (Syndecan 1)

Hintergrund des Antigens

Das CD138-Molekül ist ein transmembranes Heparansulfatglykoprotein, das in unterschiedlichen Phasen der Differenzierung in normalen lymphoiden Zellen, wie Prä-B-Zellen, unreifen B-Zellen und Ig-produzierende Plasmazellen, sowie in geschichteten und einfachen Epithelien exprimiert wird. Der Verlust der CD138-Expression atypischer Zellen soll ein frühes Ereignis bei der Entstehung des Zervixkarzinoms sein, während die CD138-Antigen-Expression einen engen Zusammenhang mit erhaltener epithelialer Morphologie und Differenzierung zeigt. Der Hauptnutzen von CD138 als Marker in der Immunhistochemie besteht jedoch in der Quantifizierung von Plasmazellen.

Produkte

Produkte

PA0088
7ml CD138 Bond RTU Primary

Downloads

Downloads

PA0088

Zuletzt angesehen