Leica Alcianblau Spezialfärbekit

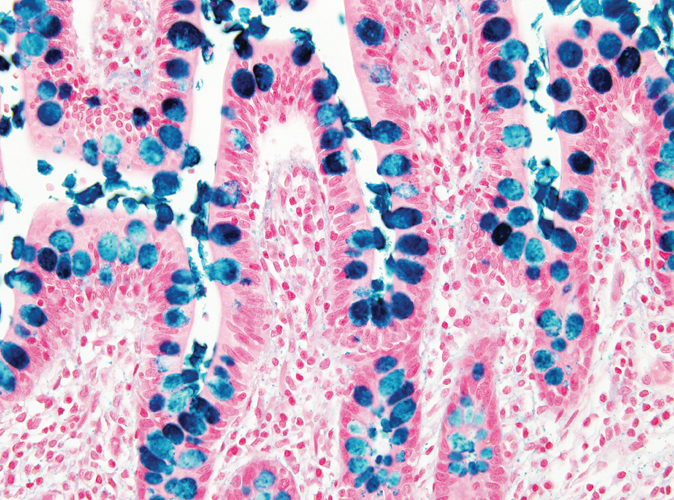
Alcianblau wird normalerweise mit einem sauren pH von 2,5 angesetzt und dient zum Nachweis saurer Mukopolysaccharide und essigsaurer Muzine.

Übermäßige Mengen an nicht sulfatierten sauren Mukosubstanzen treten bei Mesotheliomen auf. Eine gewisse Menge ist normalerweise in den Blutgefäßwänden vorhanden, bei frühen atherosklerotischen Läsionen kommt es aber zu einem Anstieg.

 

Produkte

Produkte

38016SS3
ALCIAN BLUE SELCTECH SPCL STN KIT

Downloads

Downloads

Zuletzt angesehen