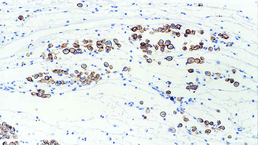
Human mesothelioma: immunohistochemical staining for Mesothelin. Note intense membrane staining of tumor cells. Mesothelin: clone 5B2

Mesothelin

Antigen Background

Mesothelin is a glycosyl-phosphatidylinositol-linked (GPI) glycoprotein of 40kD present on the surface of mesothelial cells, mesotheliomas, epithelial ovarian cancers and some squamous cell carcinomas. It is synthesized as a 69 kD precursor which is enzymatically processed into an N-terminal secreted form of 30 kD and the GPI-linked membrane-bound form of 40 kD. The secreted form is identical to the megakaryocyte potentiating factor, but it is the GPI-linked membrane-bound form which has generated interest. Mesothelin is abundantly expressed in the kidney and in occasional epithelial cells of the trachea, tonsil and fallopian tube. The function of mesothelin is unclear but it may have a role in cellular adhesion. Mesothelin is reported to be abundant in the normal mesothelial cells from which malignant mesotheliomas and ovarian cystadenocarcinomas are derived.

Disclaimer

Mesothelin is recommended for the detection of specific antigens of interest in normal and neoplastic tissues, as an adjunct to conventional histopathology using non-immunologic histochemical stains.

Produkte

Produkte

MESO-L-CE
1ml NCL-L-MESO
PA0373
7ml Mesothelin Bond RTU Primary

Downloads

Downloads

MESO-L-CE

PA0373

Zuletzt angesehen