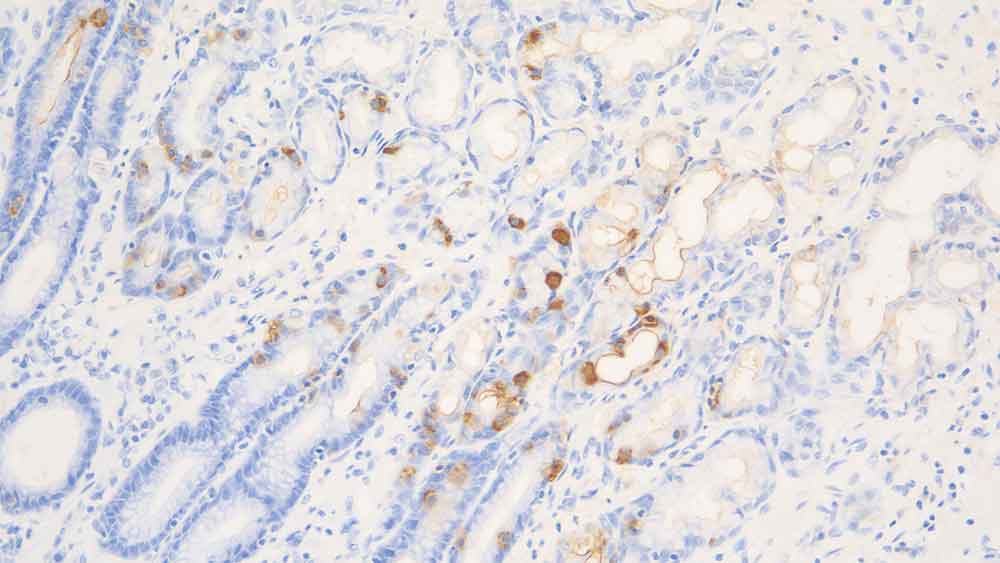
Normal human stomach: immunohistochemical staining for Gastrin. Note: intense cytoplasmic staining of neuroendocrine cells. Gastrin: Polyclonal

Gastrin

Antigen Background

Gastrin, a polypeptide hormone, occurs naturally in three forms: gastrin-14, gastrin-17 and gastrin-34. Both primary and secondary G cell hyperplasia are reported to be characterized by clustering of the immunoreactive cells which sometimes project buds from the mucous glands.

Disclaimer

Gastrin is recommended for the detection of specific antigens of interest in normal and neoplastic tissues, as an adjunct to conventional histopathology using non-immunologic histochemical stains.

Produkte

Produkte

PA0681
7ml Gastrin Bond RTU Primary

Downloads

Downloads

PA0681

Zuletzt angesehen