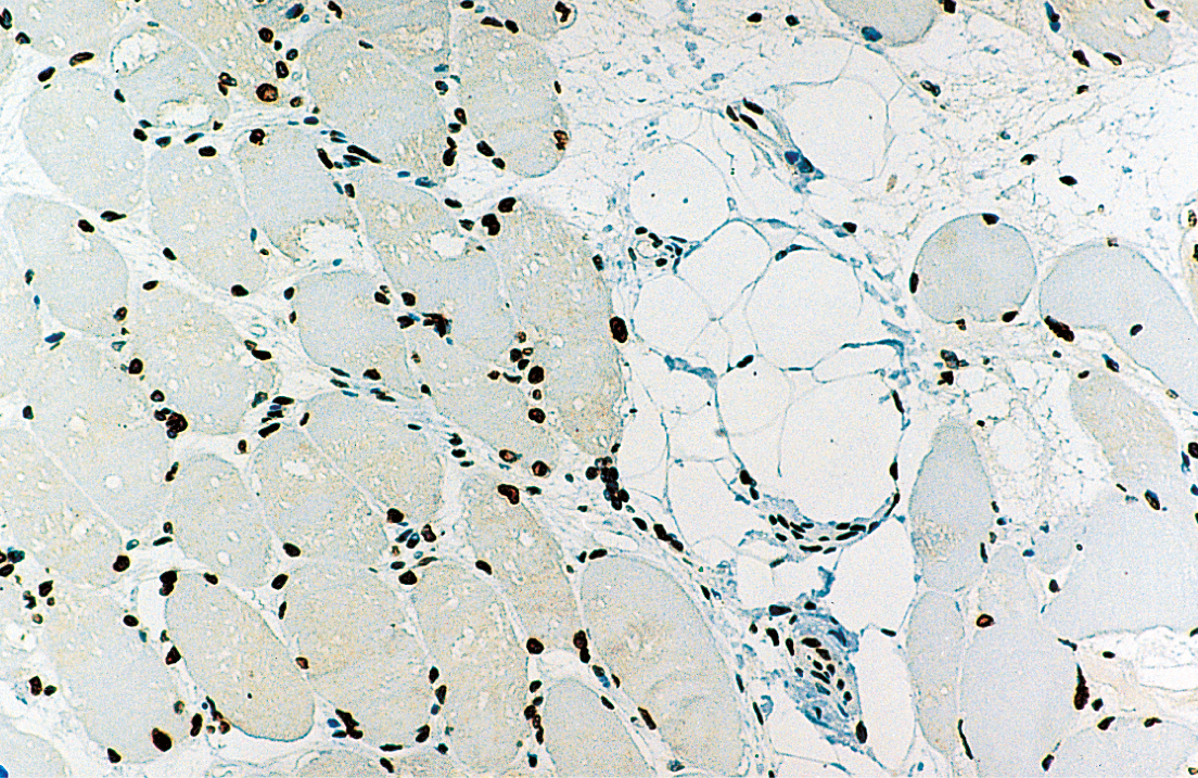
Human skeletal muscle: immunohistochemical staining for Emerin. Note perinuclear staining of all cell nuclei. Emerin: clone 4G5

Emerin

Antigen Background

Emery-Dreifuss muscular dystrophy (EDMD) is a late onset, X-linked, recessive disorder characterized by slowly progressing contractures, wasting of skeletal muscle and cardiomyopathy usually presented as heart block. Contractures are seen in the elbows, Achilles tendons and post cervical muscles with humero-peroneal distribution early in the course of the disease. The STA gene, at Xq28 locus, encodes a serine-rich 34kD protein, emerin, which is ubiquitous in tissues and is found in highest concentration in skeletal and cardiac muscle. Emerin is localized in the nuclear membrane of normal muscle cells and its deficiency plays a crucial part in the pathology of EDMD.

Disclaimer
Emerin is recommended for the detection of specific antigens of interest in normal and abnormal tissues, as an adjunct to conventional histopathology using non-immunologic histochemical stains.

Produkte

Produkte

EMERIN-CE
1ml NCL-EMERIN

Downloads

Downloads

EMERIN-CE

SDS

Zuletzt angesehen