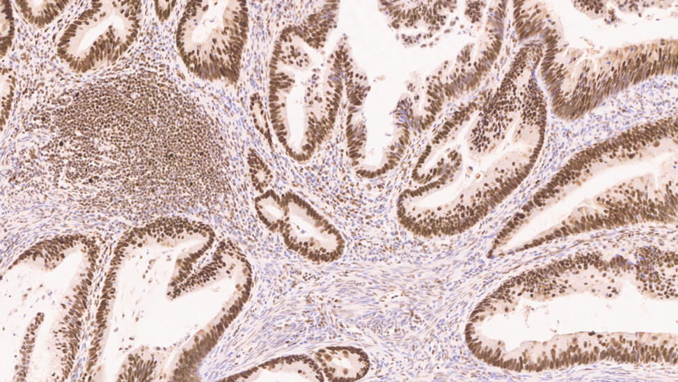
Cervical tissue (CINII): in situ hybridization for HPV subtype 16, 18, 31, 33 and 51 DNA using HPV 16, 18, 31, 33, 51 Probe, Anti-Biotin Antibody, Stringency Wash and BOND Polymer Refine Detection.
Cervical tissue (CINII): in situ hybridization for HPV subtype 16, 18, 31, 33 and 51 DNA using HPV 16, 18, 31, 33, 51 Probe, Anti-Biotin Antibody, Stringency Wash and BOND Polymer Refine Detection.
BOND HPV 16/18/31/33/51 Probe
BOND ISH probes are provided in a ready-to-use format and their use has been validated together with Leica Biosystems ancillaries and BOND Polymer Refine detection for quality you can depend on. Turnaround time is rapid – around 5 hours 10 minutes using the standard BOND protocol, enabling the rapid turnaround of results vs. typical overnight protocols or outsourced testing, for improved patient care.
HPV Probe (Subtypes 16, 18, 31, 33, 51) is used for the qualitative identification of the Human Papillomavirus (HPV) DNA in formalin-fixed, paraffin-embedded tissue by in situ hybridization (ISH) using the automated BOND system. This probe binds to HPV 16, 18, 31, 33 and 51 and is biotin-conjugated.
There are over 100 known Human Papillomavirus types, but only about 40 are known to infect the anogenital epithelium. HPV is the most common sexually transmitted virus. HPV infections have been associated with a number of malignant and benign lesions, including genital warts, anogenital cancers and oral head and neck cancers. HPV subtypes have been associated with over 95% of cervical cancers. As a result, HPV subtypes are broadly classified as high or low risk, depending on the incidence they are associated with cervical malignant transformation (high risk) and benign lesion development (low risk). There are 15 HPV subtypes classified as high risk, including 16, 18, 31, 33 and 51, but HPV subtypes 16 and 18 are the most frequent subtypes associated with cervical carcinogenesis and are detected in up to 71% of cervical cancers. It is now widely accepted that a HPV infection is necessary for cervical cancer progression; however, additional cellular events, such as HPV DNA integration status and viral load, are also key factors associated with cancer progression.
For in vitro diagnostic use.
Produkte
Produkte
PB0829
6.25mLHPVProbe(16/18/31/33&51)
Product is out of stock
Due to manufacturing & supply chain issues, this product is currently unavailable. You may place your order and it will be fulfilled when the product is back in stock. For more help, please reach out to customer service at +1 844 534 2262 or nonurgentcs@leicabiosystems.com
Product is limited in stock
Product availability is limited, but products are in continuous production. Your order will be processed as normal and may take additional days to ship.