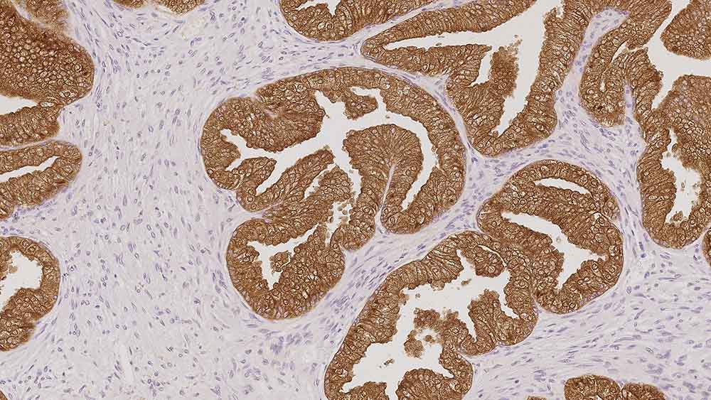
Human prostatic hyperplasia: immunohistochemical staining of Prostate Specific Antigen. Note the cytoplasmic and membrane staining of hyperplastic glandular epithelial cells. Prostate Specific Antigen: clone 35H9 

Prostate Specific Antigen

Antigen Background
Prostate specific antigen (PSA) is a 34 kD protein belonging to the kallikrein family of serine proteases and was originally isolated and purified from human seminal plasma. It was found to be immunologically identical and biologically similar to a protein isolated from the prostate gland. PSA is distinct from prostatic acid phosphatase. Low levels of expression of PSA have been reported in non-prostatic tissues and tumors such as breast carcinomas.

Disclaimer
Prostate Specific Antigen is recommended for the detection of specific antigens of interest in normal and neoplastic tissues, as an adjunct to conventional histopathology using non-immunologic histochemical stains.

Produkte

Produkte

PSA-431-L-CE
1ml NCL-L-PSA-431
PA0431
7ml PSA Bond RTU Primary

Downloads

Downloads

PSA-431-L-CE

PA0431

Zuletzt angesehen