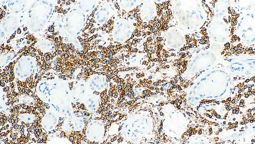
Human tonsil: immunohistochemical staining for CD79b. Note intense membrane staining of B cells. CD79b: clone JS01

CD79b

Antigen Background

CD79b, also known as B29 and Ig-beta is thought to function in the cellular activation and signaling that occurs when surface immunoglobulin (Ig) on B cells binds antigen or becomes cross-linked by anti-Ig antibody. This function occurs with the formation of a membrane signaling complex that is associated with Ig at the surface of B cells. CD79b, together with CD79a, forms the B cell antigen receptor (MLG) complex.

Produkte

Produkte

CD79B-L
1ml NCL-L-CD79b

Downloads

Downloads

CD79B-L

Zuletzt angesehen