This Website requires your browser to be JavaScript enabled.
Please enable JavaScript and reload this page.
It appears that your browser has cookies disabled.
The website requires your browser to enable cookies in order to login.
Please enable cookies and reload this page.
Log In
Register for an account
Don't have a login? Register today to view list prices and apply for an account to purchase online!
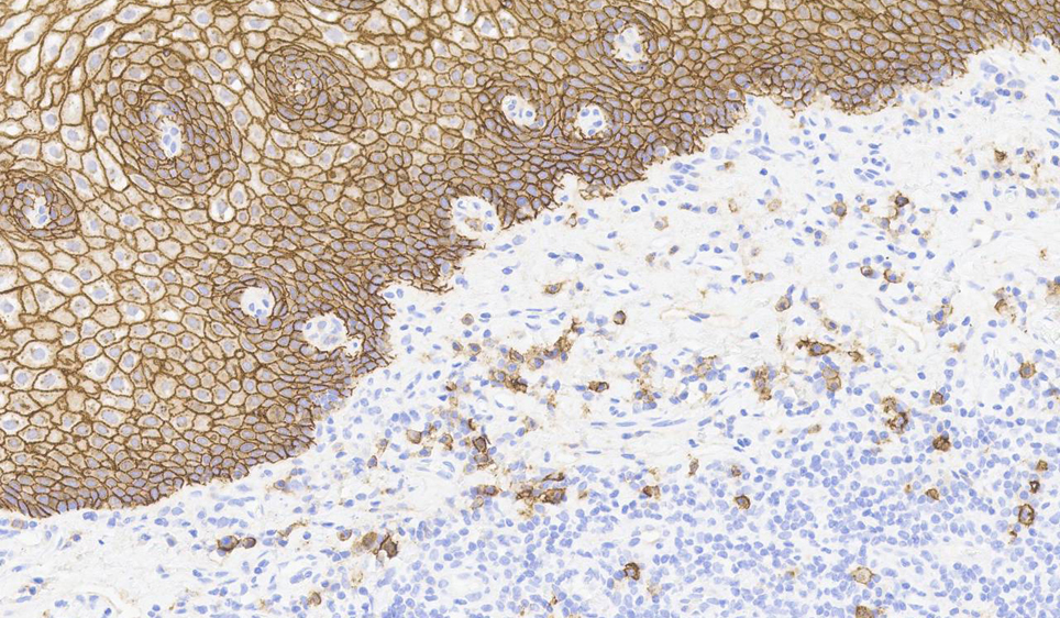
BOND-PRIME 聚合物 DAB 检测系统采用我们的紧密型聚合物技术,其中含有过氧化物阻断剂、一抗后试剂、聚合物试剂和 DAB 显色剂。
该检测系统以方便的即用型产品供货,适用于 BOND-PRIME 染色系统。
使用这款不含生物素的聚合物辣根过氧化物酶 (HRP) DAB 检测系统,可对组织切片上的染色进行可视化处理,从而提供清晰、清楚的高质量染色。
可以提供一系列 BOND 即用型一抗。
供体外诊断使用。
Australia
Austria
Belgium
Brazil
Canada
Chile
Czech Republic
Denmark
Finland
France
Germany
Greece
Holy See (Vatican City State)
Hong Kong
Hungary
Ireland
Israel
Italy
Japan
Kuwait
Luxembourg
Netherlands
New Zealand
Nigeria
Norway
Pakistan
Poland
Portugal
Romania
Saudi Arabia
Slovakia (Slovak Republic)
South Africa
South Korea
Spain
Sweden
Switzerland
Togo
United Arab Emirates
United Kingdom
United States
已成功添加到购物车
加入购物车
No item added to cart
The replacement product is no longer available, no item has been added to cart.
If you have any questions, contact us at 1.844.534.2262