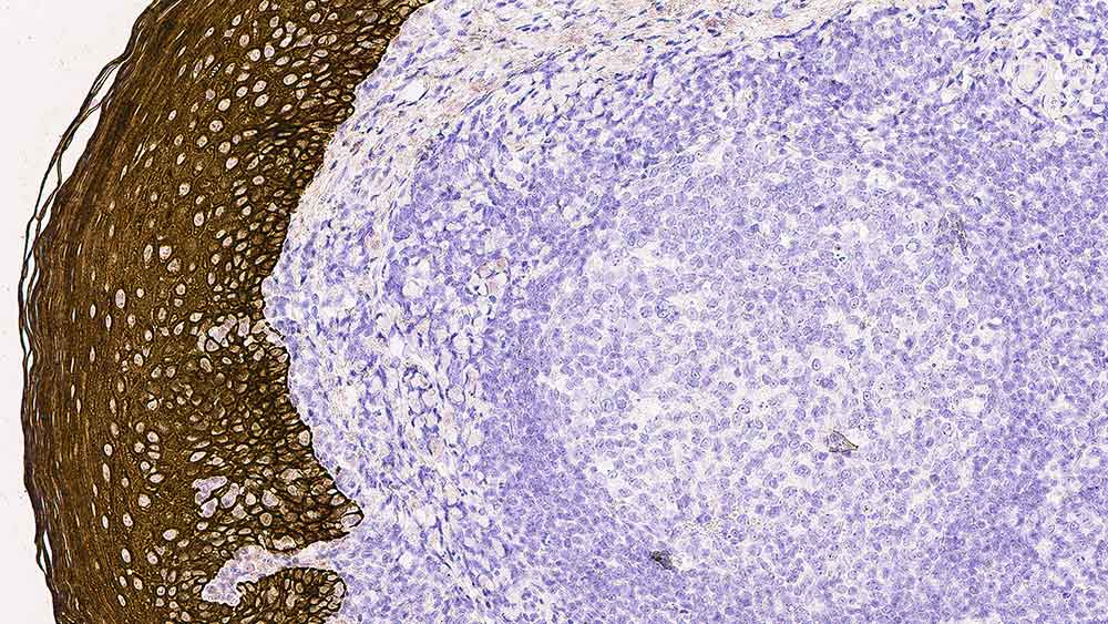
Human tonsil: immunohistochemical staining for cytokeratin, Multi. Note the cytokeratins demonstrated in stratified squamous epithelium. The negative cells in the epithelium are infiltrating lymphocytes. Cytokeratin, Multi (4/5/6/8/10/13/18): clone C-11

Cytokeratin, Multi (4/5/6/8/10/13/18)

Antigen Background

Cytokeratins 4, 5, 6, 8, 10, 13 and 18 are differentially expressed between a variety of normal, reactive and neoplastic epithelia and also simple epithelium and both basal and suprabasal layers of cornifying and noncornifying squamous epithelium.

Disclaimer
Cytokeratin, Multi (4/5/6/8/10/13/18) is recommended for the detection of specific antigens of interest in normal and neoplastic tissues, as an adjunct to conventional histopathology using non-immunologic histochemical stains.

$ 512.90 

Products

Products

C11-L-U
Cytokeratin, Multi (4/5/6/8/10/13/18), Liquid Concentrate (1ml)
In Stock
Ships via Overnight
Online-only price (details)
$ 512.90

Downloads

Downloads

C11-L-U

Recently Viewed