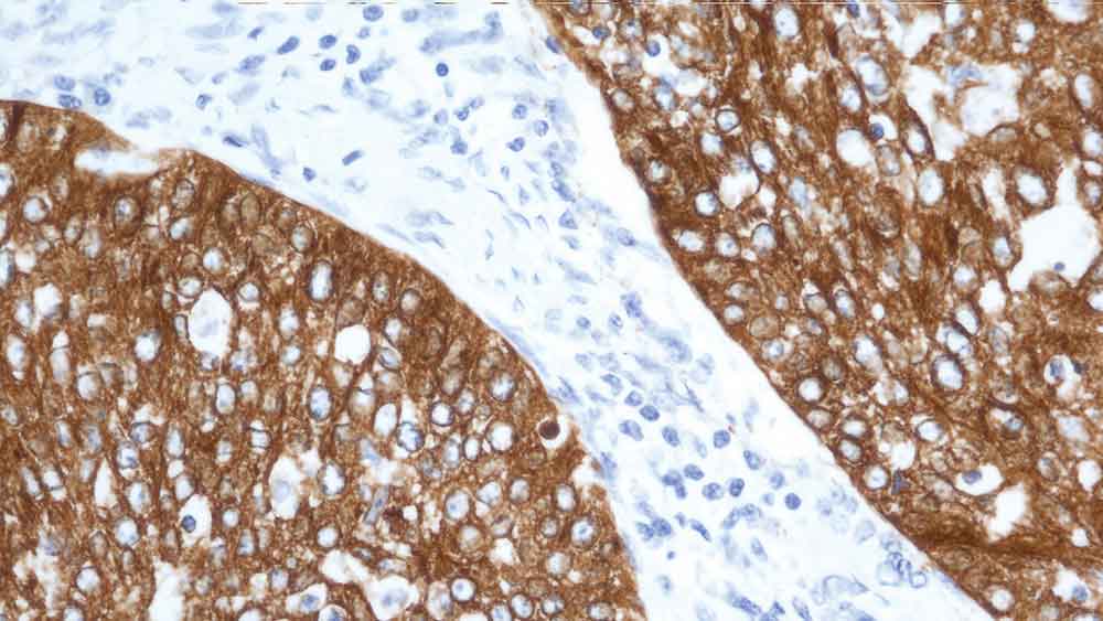
Human rectal adenocarcinoma: immunohistochemical staining for Cytokeratin 19. Note: cytoplasmic staining of malignant epithelial cells. Cytokeratin 19: clone b170

Cytokeratin 19

Antigen Background

低分子量のヒトCytokeratin(40kD)は、Cytokeratin 19として同定され、導管上皮および腺上皮を含む多種の上皮細胞に発現することが報告されています。

Product Specific Information

Clone B170 produces a complex heterogeneous staining pattern in non-keratinizing squamous epithelia and hair follicles, with strong staining of the basal layer observed.

Disclaimer

Cytokeratin 19 is recommended for the detection of specific antigens of interest in normal and neoplastic tissues, as an adjunct to conventional histopathology using non-immunologic histochemical stains.

製品

製品

PA0799
Cytokeratin 19
在庫を確認する

ダウンロード

ダウンロード

PA0799

Recently Viewed