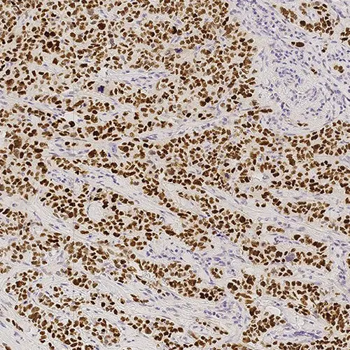
Human ductal carcinoma of the breast: immunohistochemical staining of p53 Protein. Note the intense nuclear staining of tumor cells. p53: clone DO-7

p53 Protein

Antigen Background
This monoclonal antibody recognizes both wild-type and mutant forms of human p53 protein under denaturing and non-denaturing conditions. The epitope recognized by clone DO-7 can be destroyed by prolonged fixation in buffered formalin. The heat-induced epitope retrieval technique may improve staining in some cases.

Disclaimer
p53 Protein is recommended for the detection of specific antigens of interest in normal and neoplastic tissues, as an adjunct to conventional histopathology using non-immunologic histochemical stains.

製品

製品

P53-DO7-L-CE
NCL-L-p53-DO7,p53 Protein,DO-7,1mL
在庫を確認する
PA0057
p53 Protein
在庫を確認する
P53-DO7-L-U
1ml NCL-L-p53-DO7
在庫を確認する
PA0057-U
7ml p53 Bond RTU Primary
在庫を確認する

ダウンロード

ダウンロード

P53-DO7-L-CE

PA0057

P53-DO7-L-U

PA0057-U

Recently Viewed