A diverse range of slides provides a solution for a variety of applications, include coated slides, frosted slides, beveled edge or clipped corner slides. Coverglass available for both automated and manual coverslipping.
For histological use, paraffin wax formulations are an embedding medium for tissue prior to sectioning. Paraffin provides structural support for tissue, especially in thin sections and dense tissue.
High quality microtome & cryostat blades are critical for consistency in microtomy, whether sectioning hard, soft or frozen specimens. Blades are available in high and low profile options to fit various instruments.
Tissue cassettes and embedding molds help improve efficiency and quality by securing tissue & enhancing processing. Cassettes come in a variety of formats, including one or two piece, taped or pre-packaged tubes.
Routine H&E staining and special stains play a critical role in tissue-based diagnosis or research for histology. A wide range of H&E and special stains are available to create a preferred staining aesthetic.
Reagents are useful for preparing and processing all types of tissue through all of preanalytical workflow stages. Multiple types of reagents are available for use, including decalcifiers, fixatives, alcohols and solvents.
Samples are embedded in mounting media or adhesives when placed between slides and coverglass before microscope imaging. A variety of media and adhesives available for both paraffin and frozen specimens.
Storage and transportation supplies for histological use ensure the quality of samples. Slide mailers, specimen transport supplies and storage systems are useful for sharing information and samples safely and efficiently.
Histology ancillary consumables & instruments are useful for a wide range of applications, including cytology, microbiology & autopsy/dissection. Lab safety and hygiene products help you stay safe and protect laboratory staff.
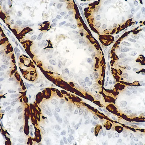
IHC primary antibodies allow for the creation of high-quality IHC slides. Primary antibodies bind directly to specific antigens, and can be used for both automated and manual applications.
ISH/FISH probes are useful for detecting DNA & RNA sequences, providing clearer backgrounds and brighter signals. ISH Probes can be used with detection systems & ancillary reagents.
Detection systems create a complete IHC and ISH staining solution. Kits include polymer detection systems, ancillary reagents and consumables for the entire IHC/ISH process, and have both manual and automated options.
Ancillary reagents and instrument consumables are primarily used for IHC/ISH purposes. These include epitope retrieval solutions, pre-treatments, detection components and wash buffers.