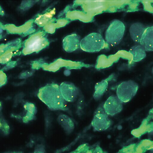
Wolf-Hirschhorn WHSC1 (4p16) / SE 4 probe hybridized to Wolf-Hirschhorn patient material showing a deletion of the WHSC1 gene region at 4p16 (1R2G). Image kindly provided by Prof. Zollino, Rome.
Wolf-Hirschhorn WHSC1 (4p16) / SE 4 probe hybridized to Wolf-Hirschhorn patient material showing a deletion of the WHSC1 gene region at 4p16 (1R2G). Image kindly provided by Prof. Zollino, Rome.
IVD WHSC1/SE 4
Wolf-Hirschhorn Syndrome (WHS) affected individuals have prenatal-onset growth deficiency followed by postnatal growth retardation and hypotonia with muscle under-development. Developmental delay/mental retardation of variable degree is present in all. FISH analysis using a WHSC1 specific FISH probe for chromosomal locus 4p16.3 detects more than 95% of deletions in WHS. The Wolf-Hirschhorn region probe is optimized to detect copy numbers of the Wolf-Hirschhorn critical region at 4p16. The chromosome 4 Satellite Enumeration (SE 4) FISH probe at D4Z1 is included to facilitate chromosome identification.
References: Gandelman et al, 1992, Am. J. Hum. Genet., 51; 571-578. Wright et al, 1997, Hum. Mol. Genet., 6; 317-324.
Downloads
Downloads
The items in your Quote cart has reached the maximum allowed items limit.
Successfully added to cart
added to cart.
No item added to cart
The replacement product is no longer available, no item has been added to cart.
If you have any questions, contact us at 1.844.534.2262